+254-111-051-530 info@rayhaan.co.ke

Dental OPG in Nairobi Panoramic Dental X-Ray for Clear, Accurate Oral Diagnosis

Safe, fast, and affordable Dental OPG services in Nairobi using the latest Kodak Carestream technology.

N

Accurate Diagnostics

N

Modern Equipment

N

Patient-Centered Care

N

Experienced Radiologists

Female Radiographer available rayhaan healthcare

Why Choose Rayhaan Healthcare for Dental OPG

Advanced Imaging Technology

Clear and reliable results

Patient Safety & Comfort

Low radiation, safe for both children and adults

Quick & Painless Procedure

Typically completed in 5–10 minutes

Trusted by Dentists in Nairobi

Accurate scans to guide treatment plans

Radiology in Nairobi Parklands - Rayhaan Healthcare
Radiology in Nairobi Kenya, Parklands. Rayhaan Healthcare

Service Breadth

At Rayhaan Healthcare, our Dental OPG services in Nairobi cover:

Panoramic Dental X-Rays

Orthodontic X-Rays

Implant Planning X-Rays

Wisdom Teeth Evaluation

ballooning in Kenya

Duration

30 min

Technology That Matters

Advanced Dental OPG services in Nairobi

Kodak Carestream CS8100 2D

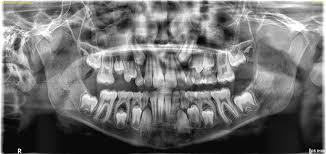
Dental OPG in Nairobi

High-Resolution Panoramic Imaging

Full-mouth scans in one quick procedure.

Accurate Diagnosis

Helps detect wisdom teeth, jaw problems, tooth growth, and dental abnormalities.

Fast & Comfortable

Quick scan with minimal radiation exposure.

How to Prepare for Dental OPG

Remove glasses, jewelry, or metal objects before scan

Stand still as the machine rotates around your head

From orthodontics to implants, every great dental treatment begins with the right scan. Book your Dental OPG in Nairobi today at Rayhaan Healthcare services.

Need Help?
🩺 BMI Check
×

Check Your BMI